医療法人一元会 松井山手西川歯科医院 ペリオ・インプラントクリニック インビザライン矯正

2022.01.31インプラント治療

DSC_5145.JPG
藤田_福美_ライトボックス(1)_口腔内_20211130_103443.jpg
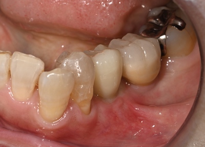
左下5部インプラント。
左下6部は、この治療の約5年前にインプラント治療行っている。
当時手前の5部にも亀裂が入っているため、中長期的予後不良をお伝えし、問題発生時には同部にインプラント追加と説明した。
5年前に2本共抜歯してインプラントは?と患者さんは言われたが、保存できるなら保存したほうが良いとの私の判断。
5年保存できたことが短いのか長いのか。
いずれにせよ5年前のインプラント治療も問題なく経過している。
上部構造体は5部がジルコニアクラウン、6部がPFMクラウン。
使用インプラントはいずれもASTRA (スウェーデン)。
これも技術の進歩か。

メインテナンスがんばりましょう。