医療法人一元会 松井山手西川歯科医院 ペリオ・インプラントクリニック インビザライン矯正

2021.12.03包括診療

術前、様々な問題を抱えている。
DSC_0061.JPG
全顎矯正治療を含む包括診療。
インプラント治療は行っていない。

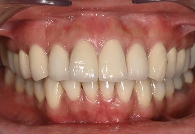
術後。(術後1年)
審美性、前歯牙においてのしっかりした咬合が確立されており、患者さんは大変満足されている。
補綴を組み込まない矯正治療のみの治療でも、しっかりした咬合を確立することが重要なのだが、一部の矯正医、見様見真似でマウスピース矯正行っている歯科医は咬合の事を全く理解しておらず、そのような治療(とも言えない行為)を行っても必ず問題再発する。
⇒他院における矯正治療失敗例参照。

DSC_0386.jpg
DSC_0390.JPG
治療期間概ね2年半。
治療は治療自体が目的なのではなく、機能性、審美性を回復し、その状態が長期に維持すること。
そのためには日々のメインテナンス、注意事項を遵守していただく必要あり、患者さんの十分な理解と協力なしにこのような治療は不可能。
したがって誰でもコストをかければ治療可能といというものではない。

包括診療は歯科の様々な分野を高度に融合させ、歯科医師は無論、歯科技工士、歯科衛生士などのプロフェッショナルは言うに及ばず、スタッフの総力戦のため、歯科医院のポテンシャルの差は大きい。

疎い知識、技術は論外、見様見真似では行えない、行うべきではないが、手を出してしまい負のスパイラルに陥って相談が後をたたない。

マトモな治療も行わず、予防歯科だの審美歯科、また、インプラント、マウスピース矯正にフォーカス当てているのは明らかな間違い。

今後とも全力でメインテナンス行っていきます。