医療法人一元会 松井山手西川歯科医院 ペリオ・インプラントクリニック インビザライン矯正

2021.11.30インプラント症例

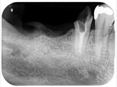
右下痛みにて来院。
右下5部を前医にて根管治療行ったらしいが、状況改善せず抜歯宣告受けての当院へ相談。
状態の悪い右下7部ならびに6欠損部についての説明はなし。
磯部_英二郎_ライトボックス(2)_口腔内_20201120_130356.jpg
右下7部は歯根周囲に全く骨が存在せずグラグラの状態、歯根破折も認めたため残念ながら抜歯。
右下5部は精度の低い根管治療が行われていたため、再度根管治療行った。
根管充填はMTA使用。(保険診療適応外)
結局この患者さんは右下欠損部をインプラントで回復希望、その他の問題点も徹底的に治療希望されたので、包括診療行った。
右下7部抜歯、右下5部根管充填後。痛み等の症状は完全消失。
磯部_英二郎_ライトボックス(1)_口腔内_20210219_110622.jpg
インプラント治療終了、アバットメント試適。
使用インプラントはBiomet 3i(アメリカ)。
5部にはダウエルコア装着。
年内完成予定。