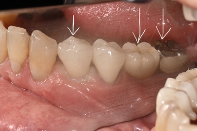
HOME > ブログ 一覧 > どれがインプラント治療でしょうか? 2021.11.15どれがインプラント治療でしょうか? どれがインプラント治療でしょうか?・・・・・ 矢印が正解 しばらく仮付けし、形態、色調をもう少し調整したい。 手前2本の上部構造を外したところ。 前歯はコンポジットレジン充填予定。 細かいところに拘らなければ治療は成功しない。 Recent Entries アライナー矯正(インビザライン、シュアスマイル)費用を2023年 1月から改訂させていただきます(01/09) 本年もよろしくお願いいたします(01/02) 年始の診療について(01/01) 新しいWEBへ移行、年末年始の診療のお知らせ(12/29) ダラダラ根管治療行っても治らないという事(12/21) Category その他の治療(126) インビザライン・矯正(52) インプラント治療(216) ホワイトニング(47) メインテナンス(21) 包括診療(95) 医院からのお知らせ(249) 審美治療(128) 日々雑感(283) 根管治療(100) 歯周病治療(90) 矯正(73) 補綴治療(45) 補綴治療カテゴリを追加(1) 診療全般(44) Archive 2023年1月(3) 2022年12月(6) 2022年11月(14) 2022年10月(6) 2022年9月(8) 2022年8月(7) 2022年7月(13) 2022年6月(8) 2022年5月(7) 2022年4月(7) 2022年3月(6) 2022年2月(7)