医療法人一元会 松井山手西川歯科医院 ペリオ・インプラントクリニック インビザライン矯正

2021.09.16インビザラインによる治療例

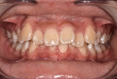
初診時中学3年生
術前
DSC_7882.JPG
変則的であるが、上顎第一小臼歯2本抜歯し、矯正治療行った。
抜歯後3ヶ月は通常のブラケット+ワイヤー矯正行い、その後インビザラインで治療。
(抜歯スペースを詰めるための歯牙平行移動は、インビザラインは苦手なため)
治療期間10ヶ月。
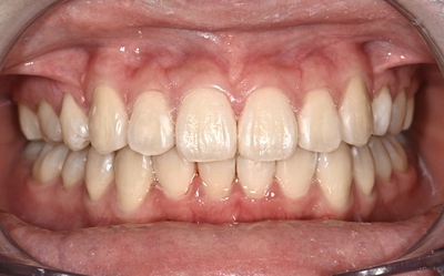
術後(現在治療終了後2年経過)
厳格には大臼歯部1級関係は構築できていないが、臼歯部、前歯部の静的、動的咬合はタイト確立できている。
大臼歯部1級関係を確実に構成しようとすると、下顎第一小臼歯も抜歯が必要と診断したが、治療期間の長期化、複雑化の観点から、また、全く虫歯のない歯牙をさらに2本抜歯することは疑問と判断。

以前紹介した他院での矯正ケースで、必要もない抜歯を行い、結局隙間が空いたままであったり、ブリッジが装着されていたケースは明らかな誤り。

最初の診断が非常に重要。

DSC_0208.JPG
良好な機能性と審美性が獲得できた。

歯科医、患者さん両方の誤解が多いですが、インビザラインを含めたマウスピース矯正は「簡単な矯正治療」ではありません。
インビザライン単体での治療にも限界があります。
本ケースのように通常の矯正治療と併用することにより、良好な結果が得られる場合も多いです。
したがって、残念ながら簡単に考えている歯科医が多いのですが、通常の矯正治療が行えない、咬合、その他の知識に疎い歯科医が手を出すべきものではないです。

また、患者さん自身安易に考えられると良好な治療結果が得られないばかりか、治療脱落にもなりかねないです。
治療費用のムダにもなりますので、よくお考えを。

また、矯正治療終了後の確実な保定、定期的なフォローアップ、メインテナンスは必ず必要です。
これらがない場合、歯列の後戻りが発生する可能性があります。
過去に他院で矯正治療行ったものの、その後一切のメインテナンス受診されず後戻り起こしているケースでのご相談が一定数ありますが、この場合、一から矯正治療のやり直しとなります。

矯正治療に限らず、複雑、高度な治療をご希望なら、治療に対する十分な理解とご協力は不可欠です。