医療法人一元会 松井山手西川歯科医院 ペリオ・インプラントクリニック インビザライン矯正

2021.09.20歯周外科治療

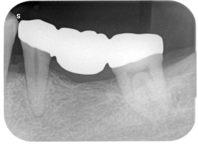
術前
多田_直樹_ライトボックス(1)_口腔内_20210610_182248.jpg
◯内の骨が凹でいる。
歯周ポケット数値も5mmくらいある。(正常0〜3mm)
歯周病の進行。
状況は厳しいが、この歯がなくなると、部分義歯もしくはインプラントとなるので何とか残したい。
患者さんは抜歯してインプラントを希望されたが、歯科医として、そこは歯牙を残してナンボ。
通常のスケーリング、ルートプレーニングを行い、一定の改善は見られたが、歯周外科治療行う事によりさらなる改善を目指す。
術後
多田_直樹_ライトボックス(1)_口腔内_20210826_100319 2.jpg
術前◯内の骨が再生しているのが分かる。
安定している。

今回は通常の歯周病外科処置のみであり、BGR、骨移植、骨誘導因子の使用等は行っておらず、単純に歯肉を開いて歯根面をデブライメント行っただけです。

当院ではインプラント治療が非常に多いですが、残せる歯牙は残す、できるだけご自身の歯牙を保存するというスタンスは変わらないです。

インプラント治療にスポットが当たりがちですが、それ以前の歯周病治療、特に歯周外科治療行える歯科医はごくわずか。

歯科医院Webなどでも、インプラント、インビザラインは大きく紹介しているものの、もっと根幹の部分である歯周病治療に触れているものはほとんどないことから明らかです。

他院において毎月毎月メインテナンスを行ってきたがドンドン状況が悪くなる、、、、、、という相談が非常に多いです。
逆に言えばの歯牙を残せないから安易に抜歯し、インプラント、、、、、というようなことが横行しています。
インプラント治療は極端なことを言えば、歯周病治療、補綴、咬合治療の延長線上にあります。
歯周病治療のスキルが甘い状態でインプラント治療?・・・・・本当に大丈夫でしょうか?

当院において歯周外科処置はほぼ毎日、通変的に行っており、特別なものとは考えていません。
セラミック?ジルコニア?地盤工事もしっかり行わない状態で高価な保険外の補綴物を入れても全く無意味です。

歯周外科処置は誰にでも行なうべきものではないです。
治療への十分な理解とご協力なしに成立するものではないです。