医療法人一元会 松井山手西川歯科医院 ペリオ・インプラントクリニック インビザライン矯正

2021.08.06セラミックで治療した歯が痛い、腫れている

他院において最近セラミックで治療した歯が痛い、腫れているということで来院。
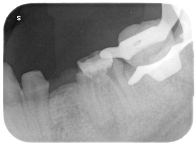
術前レントゲン写真。
セラミックの適合精度は極めて悪い。
ダメになるのは時間の問題。
加藤_祐子_ライトボックス(1)_口腔内_20210624_154232.jpg
近心根混尖に影がある。
ラバーダムをかけ、マイクロスコープ下で根管充填剤を除去。
ここまで約1時間。
加藤_祐子_ライトボックス(1)_口腔内_20210720_104314.jpg
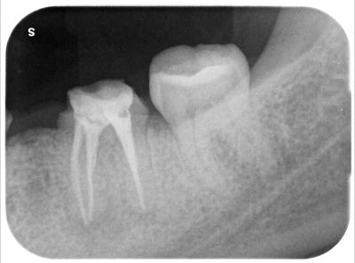
処置後数日で症状は消失。
処置開始2週目で問題消失のため根管充填。
根尖部の陰影も消失傾向に見える。
前医が必要以上に根管拡大していたと思われるため、一部MTAで充填している。
ここまでの治療時間トータル2時間。
(本治療は全て保険外診療)
加藤_祐子_ライトボックス(1)_口腔内_20210803_104800.jpg

この患者さんは他の部位も含めて最近まで治療行っていたらしいが、前医での治療にご不満が多々あるようで、当院で再治療予定。
最初から診察してもらっていたら無駄な時間とコストがかからなかったのに、、、、、と言われても、、、、、、
スタートラインでの診査、診断が、、、、、、

なお、当院ではマイクロスコープを使った診療は一部の例外を除き、保険診療では行っていません。
マイクロスコープを使用し、様々なディスポーザブル機器を使用、1時間かかって根管充填剤除去、根管内拡大、洗浄行っても、正直、保険診療では54点=540円!。
通常、2〜3回で根管治療終了となりますが、トータルで治療時間2時間は必要であり、到底ペイしませんので。

現実を語らず、色々キレイ事ばかり言う歯科医院も多いですが。