医療法人一元会 松井山手西川歯科医院 ペリオ・インプラントクリニック インビザライン矯正

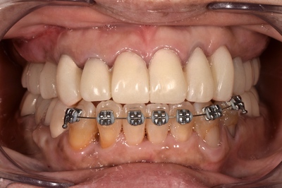
2021.06.28治療1年、ここまできました

術前
DSC_2738.JPG
様々な問題を抱えているが、前医ではその場しのぎ的対応しか行ってもらえず、欠損部に使用されている着脱式の入れ歯は合わず噛めない、全体的にドンドン状況が悪化し、どうにもならなくなり、遠方から相談に来られた。
上下前歯は元々オープンバイト。
私からすると、正確な診査、診断が行われておらず、よく分かっていない歯科医が患者さんの口腔環境を悪化させているケース。
無論手技も疑問。
よくあることだが。

歯周治療、抜歯、根管治療、咬合治療、矯正治療、インプラント治療、、、、、、様々な分野を駆使し、治療中。
いわゆる包括診療。
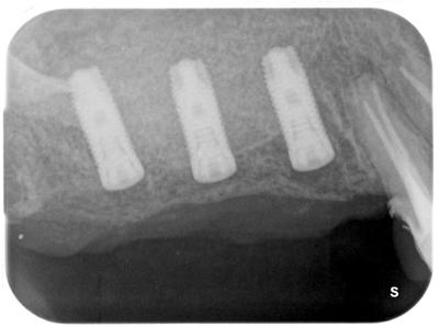
インプラント治療は、前医では骨がないから不可能と言われたらしいが、、、、、骨移植により、問題なく咬合回復できた。
術前
金井_三千代_ライトボックス(1)_口腔内_20200613_132205.jpg
サイナスリフト行いインプラント埋入時
金井_三千代_ライトボックス(1)_口腔内_20200829_100339.jpg
治療開始1年、3回目のプロビジョナルクラウンが装着された様子。
D41_3607.JPG

細かいところの治療はまだまだ続く、、、、、

稚拙な知識とスキルの歯科医がこのような複雑なケースに手を出しトラブルが多く出ているが、治療開始には熟考された方がいいですね。
治療費用も大変高額になりますから。

残念ながら複雑な包括診療できる歯科医は上位10%もいないと思います。
医院に様々な最新診療機器装備と自慢も多いが、「高度な治療」ができるかどうかは全く別の問題。