医療法人一元会 松井山手西川歯科医院 ペリオ・インプラントクリニック インビザライン矯正

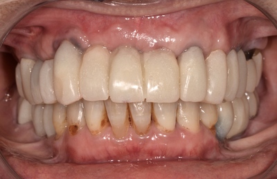
2021.05.17治療9ヶ月目、とりあえず仮の歯が入った

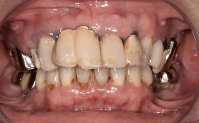
術前
DSC_2617.JPG
他院において長期に渡り行き当りばったりの治療が繰り返され、どうにもならなくなって来院された。
精度の低い根管治療、ほとんど何も手をつけられていない歯周病(患者さんは毎月検診、クリーニングを行っていたそうだが、、、、)不適合な補綴物、2次カリエス、保存不可能な歯牙、噛めない、審美的問題、、、、、様々な問題のオンパレード、、、、、。
よくあることだ。

当院で、保存不可能な歯牙の抜歯、根管治療、歯周病初期治療〜歯周外科治療、プロヴィジョナルクラウンの装着、矯正治療により、当面の機能、審美性の確保、予め計画した位置へのインプラント治療、、、、、包括診療である。
上下顎インプラント8本埋入。
どれもすんなりと治療できるような骨の状態ではなかった。
特に上顎543211には4本のインプラントは骨量が非常に少なく、大掛かりなGBRを行っている。
右上3部はどうしても唇側に埋入せざるをえず、マージンラインが揃っていないので、結合組織移植等、今後何らかの対策をとる必要ある。
なお、全てのインプラントは術前のCTから撮影したサージカルステントを使用しているが、それを丸々信用はしていない。
DSC_3372.JPG
インプラントが骨とインテグレーションした事を確認、同部支持のプロビジョナルクラウンと4回目のプロビジョナルクラウンが装着された状態。
ここまでおおよそ9ヶ月。
患者さんはここまでできるのか!?と大変満足されているのだが、まだまだプロヴィジョナル=仮の歯なので、このプロビジョナルを煮詰め、最終的なセラミックにほぼ準じた形態のプロヴィジョナルをサイド作製後、最終補綴物作製に入るので、もっともっと機能的に、キレイになります。

私的には咬合調整、プロヴィの歯肉のライン、厚み、歯牙形態、、、、、様々な改善点があると思うので、治療はまだまだ続く。