医療法人一元会 松井山手西川歯科医院 ペリオ・インプラントクリニック インビザライン矯正

  •   >  
  •   >  
  • 虫歯の取り残し、不完全なコンポジットレジン充填

2021.04.29虫歯の取り残し、不完全なコンポジットレジン充填

術前
DSC_3222.JPG
最近他院において治療行ったそうだが、充填部位、向かって右側奥から2番めの歯牙のかみ合わせ悪く、表面がざらつく、また、矯正治療に対しての不満から来院。
他の奥歯は初期の虫歯と言われ、今は治療する必要なしと言われたそうだが、、、、、、それならフォローは?
実際は相当進行しており、何本かは神経処置必要となるギリギリの線まで進行。
明らかな見落とし、お粗末な診断とスキル。
タコ焼き診療ならこんなもの?
前にも書いたが、何回かの虫歯治療⇒根管治療⇒抜歯⇒補綴(インプラントも含めた)というタイムテーブルだが、基本診療もできない状態で、高度な診療ができるのか?
スタートラインで問題出ていると考える方はほとんどいない。
もっともキチッとした治療を望まれる方ばかりではないので、このような診療の存在理由もあるのだろうし、大きな世話かもしれないが。
あまりにも酷すぎる。
この患者さんはまだ中学生である。
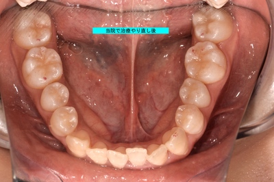
上顎も含め、当院で徹底的に処置
術後
DSC_3363.JPG
充填部位はほぼ判別不可能。
虫歯の深かったった部位は、神経を保護、第2象牙質生成確認のため経過観察後再治療予定だが、矯正治療もご希望のため、矯正治療終了後ホワイトニング等行った上で再治療予定。
治療時間約60分。