医療法人一元会 松井山手西川歯科医院 ペリオ・インプラントクリニック インビザライン矯正

2021.04.22サイナスリフト後の2次オペ

以前にご紹介したケース。
サイナスリフトを伴うインプラント処置後7ヶ月経過したため、2次オペを行った。
術前
インプラントを埋入するにあたり、十分な骨量がないため、自家骨+バイオス+リグロス使用。
金井_三千代_ライトボックス(2)_口腔内_20200613_132205.jpg
インプラント埋入直後
43┛根管治療、8┛抜歯
十分骨が移植され、インプラントが埋入された。
金井_三千代_ライトボックス(2)_口腔内_20200829_100339.jpg
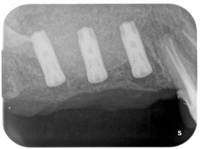
2次オペ時
インプラントカバースクリュー上部まで骨が造成している。
真ん中のインプラント上部の骨を一部慎重に除去した状態。
DSC_3309.JPG
ヒーリングアバットメント装着
金井_三千代_ライトボックス(1)_口腔内_20210313_103842.jpg

この後治癒を待ち、プロビジョナルを装着、同部をアンカーとして矯正治療(インビザラインではない)がスタート予定。
遠方からの通院だが、治療はまだまだ続く。

今まで何件もの歯科医院で解決できなかった、いや、通院すればするほど状況が悪くなるばかりだったそうだが、当院での目処が立ってきて患者さんは大変喜ばれている。

もう少しの辛抱です。