医療法人一元会 松井山手西川歯科医院 ペリオ・インプラントクリニック インビザライン矯正

  •   >  
  •   >  
  • コンポジットレジン充填(保険診療)でもこんなに差があるということ

2021.03.30コンポジットレジン充填(保険診療)でもこんなに差があるということ

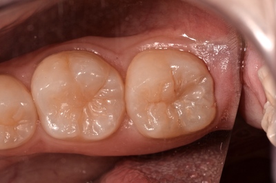
DSC_3340.JPG

下顎67部にコンポジットレジン充填行われている。
向かって左が当院で3年前に行ったもの=通常の保険診療ならびに保険診療に用いるコンポジットレジン
右が最近他院で行われたもの。
あいだの経緯は不明だが、結果は一目瞭然である。
当院で3年前に処行ってからメインテナンス等の来院は全くないが、概ね充填時を維持できている。
最近行われたものはと言うと、、、、虫歯の取り残し、知識不足、雑な術式による接着不良(コンポジットレジン周囲が白くなっている)、研磨不良、辺縁破折、、、、、数年でまた虫歯となり、ドンドン状況悪くなり、根管治療、抜歯というタイムテーブルだが、何年もに渡り起きることなので患者さんが事実に気づくことはない。

歯医者は下手なほど儲かるということ。

この患者さんは他にも虫歯の見落とし、親知らずの問題(その歯科医院では抜歯できなと言われた)、歯並びの問題を抱えているが、、、、、、タコ焼き診療ならこんなもの?

いや、技術レベルが低ければ、いくら時間をかけてもマトモなことは絶対できない。

甘い診断、雑な治療、コンポジットレジン修復もこの程度、抜歯もできないで審美治療?インプラント治療?
・・・・怖いがこれが現実。

といういことで不安になられ、当院に来られた。
全部まとめてワンストップで治療開始。

DSC_3343.JPG
反対側も同様。
向かって左が当院で行ったもの。
右側が他院で行われたもの。
同じく歯牙内部の色調から、相当の虫歯取り残しがあるが、患者さんは何も説明受けていない。