医療法人一元会 松井山手西川歯科医院 ペリオ・インプラントクリニック インビザライン矯正

2021.03.29根管治療の後痛みが取れない、、、、、

1ヶ月前他院にて根管治療を行ったもの全く痛みが取れず、その事を訴えても鎮痛剤を処方されるのみで、痛みが取れないのは歯が割れているから抜歯、インプラントと言われたので、ご友人の紹介で来院された。
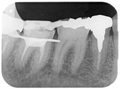
術前
隔壁等なかったので、当院で築成、ラバーダムクランプをかけたとこと。
根管充填不良が確認できる。
もっとも、レントゲン的に根尖まで充填されていることが大事ではないが。
佐々井_洋一_ライトボックス(2)_口腔内_20210216_164151.jpg
根管治療開始したが、拡大が不十分で神経の取り残しがあった。
2週間後再来院、根管充填完了。
前回治療の翌日には1ヶ月以上続いた痛みもとれたらしい。
術後
佐々井_洋一_ライトボックス(2)_口腔内_20210220_111540.jpg

マトモな根管治療も行わず、痛みが取れないから歯が割れている、抜歯、インプラント、、、、、、残念ながらよくある話だが、歯牙を保存できない歯科医がインプラント治療行ってはダメだと思う。
特にこの患者さんは他にも様々な問題を抱えているにも関わらず(このレントゲン写真のみでも明らかだが)、そのことは全く指摘されていない。
患者さん自身も色々考えるところあるので、全顎治療となった。

前医は、インプラントの話など行っている場合ではないと思うが。

歯が欠損したからインプラント、、、、、そんなに単純なものではない。