医療法人一元会 松井山手西川歯科医院 ペリオ・インプラントクリニック インビザライン矯正

2021.02.02臼歯部の補綴

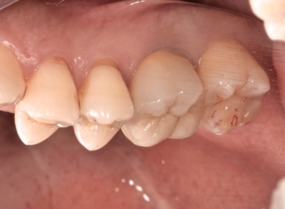
6部ジルコニアモノリシッククラウン(表面に色調調整、咬合調整のためのセラミック構築)
DSC_3236.JPG
DSC_3267.JPG

今までPFMCr-Br(金属のフレームにセラミックを溶着させたもの)、PFZCr-Br(ジルコニアのフレームにセラミックを溶着させたもの)などがあり、当院でも症例に応じて使い分けているが、近年CAD/CAMによるジルコニアモノリシッククラウンの精度、審美性、耐久性が既存のものと同等以上になってきた。
今までもオールセラミッククラウンはあったが、耐久性が今ひとつであった。

当然のことながら、これら補綴物装着の前にはマイクロスコープを用いて精密な根管治療、歯周病治療を行っている。

また、歯科医師だけではなく、歯科技工士の「ウデ」も非常に重要なのだが、そのようなスタッフのことを気にかけたことがありますか?

セラミックで処置すれば「審美歯科」?・・・・・お笑いである。そのようなものでは決してない。

*臼歯部でCAD/CAMレジンクラウンが保険適応となっていますが、保険診療においては様々な適応条件があり、また、 
 耐久性の観点から当院では行っていません。
 (実際、他院で処置したものの短期間で問題出たとの相談が多々あります。)
 ご了承下さい。