医療法人一元会 松井山手西川歯科医院 ペリオ・インプラントクリニック インビザライン矯正

2021.02.01前歯部へのインプラント

DSC_3168.JPG
大川_陽子_ライトボックス(1)_口腔内_20201210_152201.jpg
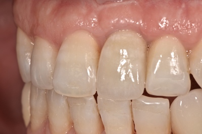
前歯部へのインプラント治療。
外傷=転倒による歯牙破折により抜歯。
使用インプラントはアストラ(スウェーデン)。
以前にも紹介したが、外傷により歯牙破折、抜歯を余儀なくされ、患者さんはインプラント治療を希望された。
しかしながら、歯牙の位置が悪く、安直にインプラント治療行うべきケースではなかった。
この方は、他の問題も解決したいという要望もあったので、矯正治療も含む包括診療となった。
このあたりの診断ができずに治療を進め、マズイ事態に陥り、当院に相談に来られるケースがちょくちょくあるのだが、一旦間違った位置にインプラント埋入されてしまうと、リカバリーは非常に困難。
CBCTや設計支援ソフト、ガイデッドサージェリーが進歩しても操るのは「ヒト」であり、使いこなせもせず、宝の持ち腐れも多い。
最初から複雑な治療に長けた歯科医に相談したほうがいいです。
術後、まだまだ3年程度だが。
指摘されなければどの部分にインプラント治療行われているか分からない。
前歯部へのインプラント治療の難易度は非常に高い。
マイクロスコープ下による歯周外科(主に結合組織移植)を用い、外傷による軟組織欠損の回復を行っている。
外傷による歯肉裂傷の跡が残存。