医療法人一元会 松井山手西川歯科医院 ペリオ・インプラントクリニック インビザライン矯正

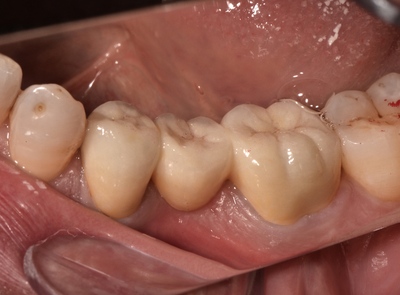
2021.02.25臼歯部PFZ-Br

DSC_3268.JPG
⑥5④┓PFZ-Br
近年、動揺のない歯牙に対してはワンピースのジルコニアフレームにセラミックを築成させ補綴物を完成させることも可能となってきた。
無論、様々なノウハウはあるが。
歯周病を有する場合の補綴治療、いわゆる歯周補綴の場合は歯牙に固有の動揺があるため、いったん副歯型を作製し、メタルフレームの作製、口腔内でろう着のインデックスを採得し、ろう着、その後連結されたメタルフレームのセラミックを築成させて補綴物を完成させるという昔ながらの方法もまだまだある。
大きな補綴物を一発で完成させる?精度的にそんなことはできない。
当院で、これは保険診療でも行っていること。