医療法人一元会 松井山手西川歯科医院 ペリオ・インプラントクリニック インビザライン矯正

2021.01.05臼歯部補綴

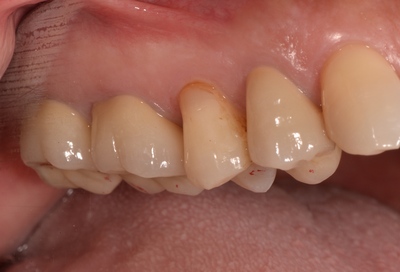
DSC_3265.JPG

┗4PFZ-Cr
┗67モノリシックジルコニアクラウン

部位、強度、審美等優先順位で使い分けている。
今までCAD/CAMモノリシックジルコニアクラウンは強度は高いものの色調の再現性、精度に難点があったが、ここ数年で非常に進歩し、問題ないレベルにある。
当院でのジルコニアクラウンは、基本的にはマルチレイヤージルコニアブロックから作製し、最終的に表面にセラミックを追加溶着させて咬合機能、審美機能の確立させている。
咬合も単に高い、低い程度の調整はしているわけではないし、単に見た目だけの審美より遥かに重要なことである。

また、接着剤、セメント剤の性能向上も大きい。

精度の高い印象(術前の歯周病処置等も含め)はあたり前のことだが、技術レベルの高い歯科技工士の存在が大きい。

他院においては、「次回型採りしますが、セラミックにしますか?」みたいな話はまだまだ多いようだが、そんな簡単なことではないので注意。