医療法人一元会 松井山手西川歯科医院 ペリオ・インプラントクリニック インビザライン矯正

2021.01.19ITI BLXインプラント

当院では世界的に定評のある(世界4大インプラントメーカー)のうち、Biomet3i社(アメリカ・大元は整形外科領域機材メーカー)、ASTRA Tech社(スウェーデン・元々は製薬会社のアストラゼネガ)を使用している。
元々開院当初はITI(スイス)を使用していたが、当時1回法のみしか販売されておらず、高度なインプラント治療には対応困難だったため、今の2社にスイッチした経緯がある。
その後しばらくしてITI社も2回法のインプラントを販売開始したのだが、使用することはなかった。
昨年秋、ITI社から新しいコンセプトのBLXインプラントが販売されたので、当院でも採用することとした。
世界には約300社、日本において正規に認可されているものは約30社のインプラントがあるが、上位のメーカーなら概ね問題ないと思う。
末端メーカーにはとんでもないものもあるが。
安価なインプラント治療には得体の知れないものを、そして言葉巧みに一流メーカーのものを高額な治療費を請求というやり方もあるようだ。
当院では前述3メーカー以外の、即ち、自分自身(私自身はインプラント治療していないが)、家族、友人、スタッフに自信をもって処置できないようなものを患者さんに勧めることはない。
安売りしようとも思わない。

しかし、一流メーカーのインプラントだから安心・・・・・というものでもない。

大事なのは、術前の検査、診断、確かな知識、技術、経験。
特に包括診療の場合は。

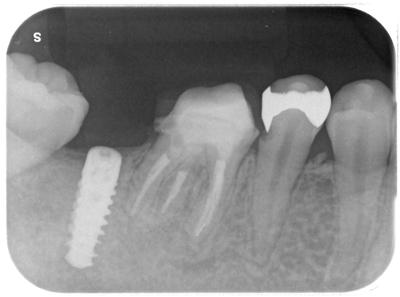
7┓部へのITI-BLXインプラントによる治療。
治療時間、約30分。
この部位へのインプラント治療には様々な治療設計、議論はあると思うが、他の歯牙の状況、全顎的矯正治療を行っている事、その他患者さんの要望からこのような治療計画となった。
2次オペ後8┓のMTM予定。無論、65┓その他の補綴治療も。
術前
伊庭_直美_ライトボックス(2)_口腔内_20191108_185234.jpg
7┓は虫歯が深く、大きく膿が溜まっており保存不可能。
6┓も根尖に影=膿が溜まっている、しかも前医によるファイル破折が起きているが、何の説明もなかったとのこと。
虫歯も深い。

7┓抜歯後、インプラント埋入直後(待機埋入)
6┓は根管治療行ったが、マイクロスコープ下でも破折ファイル片の除去はできなかった。無理して除去続行し、歯をダメにしては元も子もないので、徹底的に根管洗浄、一部MTAによる根管充填行った結果、根尖病巣は縮小、消失した。
深い虫歯には歯周外科処置を行っている。

伊庭_直美_ライトボックス(1)_口腔内_20210115_181628.jpg