医療法人一元会 松井山手西川歯科医院 ペリオ・インプラントクリニック インビザライン矯正

2020.12.21犬歯欠損にはインプラント有利

浜口_薫_ライトボックス(1)_P1_20190718_185422.jpg
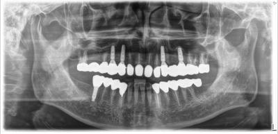
術後5年。
前医により無理な設計、精度の低いブリッジが装着せれていたが、動揺強くなり当院受診。
欠損部をブリッジではなく、インプラントにて咬合機能回復。
使用インプラントは上顎=アストラテック(スウェーデン)、下顎=Biomet 3i(アメリカ)。
本ケース、Biomet 3iにはプラットホームシフトは行っていないので、インプラントシューティングサーフェイス周の囲骨違いがよく分かる。
一部ソケットリフトによる骨移植を行っている。
右下7部にインプラント治療行っていないのはコスト低減のため。
当然、インプラント以外の様々な治療分野を総動員しての包括診療=フルハウスリコンストラクションケース。
強度の歯ぎしりがあるため、ナイトガードはマスト。