医療法人一元会 松井山手西川歯科医院 ペリオ・インプラントクリニック インビザライン矯正

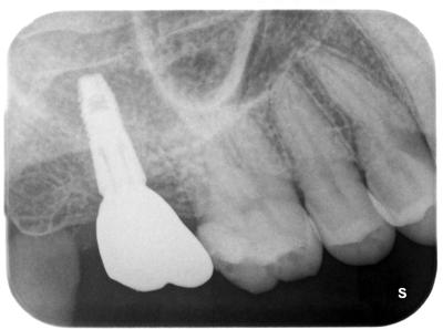
2020.12.09術後約5年のインプラント

土師_尚子_ライトボックス(1)_口腔内_20200904_151156.jpg
右上7部へのインプラント治療。
使用インプラントはアストラテックインプラント(スウェーデン)。
元々同部は他院において根管治療+補綴治療行われていなのだが、過去に複数回行われた根管治療自体に問題あり抜歯を余儀なくされた。
7部欠損の場合、通常は延長ブリッジもしくはインプラント、もしくはそのまま何も行わないという選択肢がある。
この患者さんの場合、手前のの歯牙を含め、ほぼ何の問題もない歯牙であったため、歯牙を削合するブリッジ治療は選択から外れた。
何も治療行わないと、対合歯の位置移動が避けられないため、インプラント治療行うこととした。
上顎洞が低く十分な骨がないため、自家骨+バイオスを用い、ソケットリフトによるサイナスリフトを行っている。