医療法人一元会 松井山手西川歯科医院 ペリオ・インプラントクリニック インビザライン矯正

2020.11.14いくらお金をかけても、、、、、

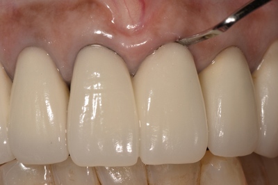
DSC_2884.JPG
他院において1年前に治療したものの、何かしら全体的に調子が悪く、そのことを言っても対応してもらえないとのことで当院に相談に来られたケース。
補綴物マージン(境界線)が黒くなっており、器具で触診すると適合状態は非常に悪く、中まで入る状態。
インプラントを含む複雑な治療が行われているが、治療設計自体に疑問。
ほぼ全ての歯牙がセラミック(PFMCr-Br)にて処置されており、ぱっと見た目はきれいなのだが、、、、、、
全ての歯牙は虫歯取り残しの状態で補綴されている。
本来、矯正治療、歯周外科治療が必要と思われるケースだが、何も行われた様子はない。
また、保存不可能な歯牙をそのまま、補綴設計の意図が不明、インプラントポジショニング不良など、様々な問題を抱える。
数年内に崩壊するだろう・・・・・というか現時点でも保存不可能な歯牙がある。
私は他院の悪口を言うつもりはないが、事実は正確にお伝えする。
キレイ事だけでは済まないので。
患者さん自身、今となっては前医の治療に少々疑問を持たれているのだが、基本はきれいになったと思われていたので、事実をお伝えしたら、「やっぱり」というような話になった。
いくらお金をかけても、患者さんの目に見えない部分の手抜き、そもそも今回のような歯肉縁下カリエスへの矯正治療、歯周外科治療での対応可能な歯科医院はそう多くはない。
しかしながら、そのような治療を行わず、行えもせずにインプラント治療がバンバン行われているのが悲しい現実。

マイクロスコープだのCTだの診療機材自慢したところで、治療するのは歯科医自身、このようなまがい物の包括診療、審美治療ケースは多々ある。