医療法人一元会 松井山手西川歯科医院 ペリオ・インプラントクリニック インビザライン矯正

2020.10.01マイクロスコープによるファイル片除去

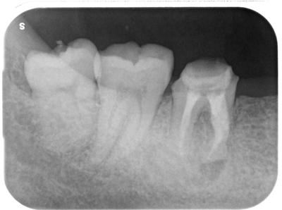
6┐腫脹、痛みにて来院。
近心根に破折ファイル片が残存。
伴_昌彦_ライトボックス(1)_口腔内_20200718_112738.jpg

患者さんは何の説明も受けていない。
正直に言って、根管治療ファイルは近年Ni-Tiファイルの性能向上、適正使用回数の遵守で折れることは殆どない。
当院でも年間1〜2本折れるかどうかのレベル。
簡単に除去できるものは除去したらいいし、仮に除去する方はリスクと考える場合はそのままでいい場合もある。
外科的歯内療法という手段もある。
歯内療法専門医には外科的歯内療法という治療オプションがあると自慢するのもいるが、マイクロスコープ仕様の歯周外科治療を日常的に行っている私には大した問題ではない。
それなりに治療機器は必要だが、準備は万全である。
当院ではファイルも完全にクラスB滅菌器を使用しているので、感染根管でなけでばファイル自体からの感染のリスクはほぼゼロ。
ブリッジを除去するとお粗末な根管治療、パーフォレーションなど、様々な問題。
CBCTも撮影し、最初は簡単に除去できると思っていたが、深くに太いファイルが食い込み苦戦した。
2回に分け、概ね2時間かかって除去成功。
除去後写真、4┐は根管充填済
伴_昌彦_ライトボックス(1)_口腔内_20200829_114728.jpg
64┐根管充填後の写真
6┐、パーフォレーションも含め、オリジナルの根管を逸脱している可能性高かったためMTAにて根管充填。
伴_昌彦_ライトボックス(3)_口腔内_20200905_161355 2.jpg

経過観察後に補綴予定。