医療法人一元会 松井山手西川歯科医院 ペリオ・インプラントクリニック インビザライン矯正

2020.09.14歯内療法専門医???

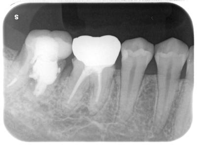
歯内療法専門医の治療を受けたものの、1年足らずで歯肉が腫れ、痛みが出て当院来院。
術前
高谷_絵里子_ライトボックス(2)_口腔内_20200529_105228.jpg
パーフォレーションリペアと称してMTAが用いられているが、本来この歯は保存不可能と判断すべきであり、明らかな診断ミス。
MTAも歯根を大きく逸脱し、もはやリペアと言えるような状態ではない。
遠心根はボロボロ。
手前の6┓歯牙も大きなカリエスあるのだが、この部分は全く処置されておらず、問題の指摘もなかったそうである。
この患者さんは全顎的に様々な問題を抱えているにも関わらず、この歯牙と他に数本の歯牙にセラミックによる治療、それも著しく適合精度の悪い処置とも言えない処置が行われていた。
咬合関係、多数のカリエスの見落とし、、、、、、。
少しピンセットで触っただけでいとも簡単に脱離したセラミッククラウン。
Webを見るとマイクロ、CBCTを使用して高度な治療を行う歯内療法専門医と派手に書いているが、何がどう専門医なのか全く分からない。

DSC_2784.JPG
内面はMTAが変色して真っ黒。
7┓抜歯、6┓カリエスの完全除去+根管治療+ダウエルコア後、7┓にインプラント治療を行った。
使用インプラントはASTRA。
矯正治療予定であり、6┐を少し遠心移動予定のためスペースを残してある。
このような細部まで考慮し、治療各分野を深く理解し、実現するためのスキルがないと包括診療成功はおぼつかない。
高谷_絵里子_ライトボックス(2)_口腔内_20200818_103013.jpg
結局、この患者さんは他にも様々な問題を抱えているにも関わらず、それを訴えても何ら解決策の提案もなく、7┐の腫脹、疼痛から前医に見切りをつけての当院受診となった。
様々な検査、診査、患者さんの治療要求から、根管治療、歯周病治療、矯正治療、インプラント治療、審美治療、、、、、結局、全顎的治療、包括診療となった。
「やっとキッチリ診てもらえる先生に出会えたと。」と泣いて言われた時に、時間もコストも色々痛い事もする必要あるけれど、確実に治しますとキッパリお答えした。
遠方よりのご来院がんばって下さい。
スタッフ一同ベストを尽くします。

◯◯専門医もピンきり、肩書を盲信するのはいかがなものか。
私の考える専門医は、非常に枝葉末節の狭い部分でキッチリした診断ができて、他の追随を全く許さないレベルの仕事をやり遂げる人だと思う。
この例のように専門と称する分野でも0点、歯周病、咬合、補綴、その他分野も0点で、どこに存在理由があるのか分からない。
根管治療15万円、MTAリペア10万円、補綴治療15万円、でも1年も保たずにダメになりましたで、よく裁判にならないなと思う。

歯科医院の増加により、歯科難民の患者さんは確実に増加している。
これは患者さんの気を引くために本質的な部分で勝負せず、見かけの客寄せに始終するから。

中にはキッチリ治療されている方も少数ではあるがおられるが、私は「専門医」の「お寒い実情」、「大人の事情」、
「笑うに笑えない事情」、「単なる客寄せ看板事情」を熟知しているので、敢えて取得もしていないし、今後もそのつもりは毛頭ない。
以前にも書いたが、自動車免許のゴールド免許・・・・決して安全運転、運転スキルが高いという指標にはならない、なぜなら、ゴールド免許ホルダーの70%はペーパードライバー・・・・・そりゃ違反も事故もないだろう。

ましてや、△△協会認定医(インプラント系に多い)など、よくそんな肩書を書けるなというものまであるが、一般の方には結構効果あるので、入会(入信?)する歯科医があとをたたないらしい。

ついでにいうなら、「日本の名医✗✗」に選ばれましたと自慢げに書く歯科医も多いが、あれはどこかの親切な団体が正確な調査を行って選定して選んだのではない。
金払って(概ね1ページ30万〜)載せて頂きましたと正確に書くべき。
私のところにも勧誘あったのでこれは事実。

無論、私は自分自身を名医などというほど厚顔無恥のアホではないし、そんな本に載るとだいたい客層が著しく下がって医院の雰囲気悪くなりロクなことないので一切お断りしたが。
仮にタダでも。
これのバリエーションで、有名人との対談形式というのもある。