医療法人一元会 松井山手西川歯科医院 ペリオ・インプラントクリニック インビザライン矯正

  •   >  
  •   >  
  • インビザラインによる矯正治療+後継永久歯先天的欠損に対するインプラント治療

2020.08.22インビザラインによる矯正治療+後継永久歯先天的欠損に対するインプラント治療

成人後も乳歯が残存し動揺しているが、根本的対応を前医ではできなかった。
何らかの提案すらなかった。
術前。
齋藤_晃_ライトボックス(1)_口腔内_20200711_130454.jpg
欠損部位に対して、ブリッジ治療もしくはインプラント治療が選択肢となるが、今回、前後の歯牙を削合避けるため、インプラント治療を患者さんは選択された。
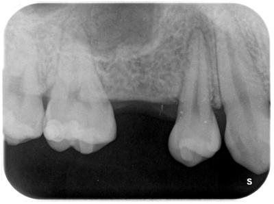
上顎洞底が低く、このままではインプラント治療不可能。
インプラント治療直後。
齋藤_晃_ライトボックス(1)_口腔内_20200817_112543.jpg
使用インプラントは、Biomet 3i(アメリカ)
骨移植はソケットリフトで行っている。
インプラント先端周囲に見える白い影が移植された補填材はBioss。
矯正治療中であり、4┘をもう少し遠心移動予定のため、スペースを残してある。
治療時間は、来院〜退院まで約1時間。
なお、全顎矯正も希望されたので、インビザラインによる治療を実施中。
このように、全顎的、包括的治療をワンストップで行えるのは当院の強み。
よく分からない専門医をたらい回しになってもロクな事はない。

遠方よりのご来院がんばって下さい。
スタッフ一同ベストを尽くします。