医療法人一元会 松井山手西川歯科医院 ペリオ・インプラントクリニック インビザライン矯正

2020.02.22パーフォレーションリペア

左下6部痛み。
正野_恵_ライトボックス(1)_Intraoral_20191221_102531.jpg
以前より当院に来院されていて、メインテナンス中の患者さんである。
左下5部は当院で10年以上前に治療行ったのだが、6部は問題なかったので処置は行っていなかった。
転勤でメインテナンスが数年中断されたのだが、その時に6部レジンの欠けにより痛みが出たので、転勤先で歯科医院を受診され、抜髄、補綴治療行われたのだが、終了時より違和感が続き、とうとう痛みまででてきたため当院に相談があった。
前医では様子見ましょうと言われるばかりだったそうだ。
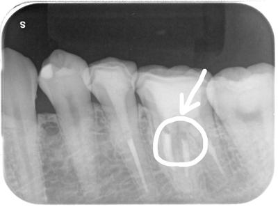
髄床底〜近心根周囲に影があるが・・・・・結局パーフォレーションが起きていた。
イレギュラーな位置に根管口があったため、多分、前医が起こしたのだと思う。
マイクロスコープ下、MTAによりリペアした。
正野_恵_ライトボックス(1)_Intraoral_20200118_110334.jpg
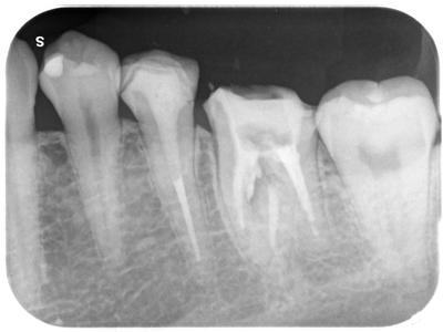
2回の通院で痛みも全くとれた。
あと、補綴治療を予定している。

なお、マイクロスコープ下MTAパーフォレーションリペアは保険外診療となります。