医療法人一元会 松井山手西川歯科医院 ペリオ・インプラントクリニック インビザライン矯正

  •   >  
  •   >  
  • オールセラミッククラウン・ジルコニアモノリシッククラウン

2020.01.25オールセラミッククラウン・ジルコニアモノリシッククラウン

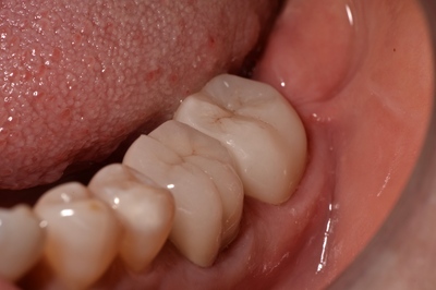
DSC_2433.JPG

┏6ジルコニアベースオールセラミッククラウン、┏7ジルコニアモノリシックセラミッククラウン。

写真ではその構造ゆえ色調が少し違うように見えるが、口腔内では判別できない。
┏6ジルコニアベースオールセラミッククラウンは、文字とおりジルコニアのベースにセラミックを筑成したもの。
┏7はクリアランスの関係で6部と同等の構造での補綴が困難なため、ジルコニアモノリシックセラミッククラウンとした。
6部が歯肉の少し深いところで破折していたので、歯周外科も行っている。
特に7部はあまりにもクリニカルクラウン低く、特に遠心部は厚い歯肉があったので、ディスタルウェッジ+クラウンレングスニング行っているが、あまり大きく行うと歯肉の連続性が失われるため、最低限行い、前述の補綴治療とした。
2レイヤーのジルコニア単体にステイニング行っている。
歯科医の技術も重要だが、このようなケースは歯科技工士の技術がより重要である。
しかしながらそのようなことは誰も言わないし、手柄を歯科医の独り占めみたいな感じになることは大きな疑問だが、患者さんも気にしない。

この患者さんは外国の方で、以前にも当院で別部位にインプラント治療を行っているのだが、日本の「銀歯」は信じられない、考えられないそうであるし、日本での治療費は母国で民間保険を利用した場合と比較しても結局安いそうである・・・・・・。

なお、治療は全て英語で対応している。